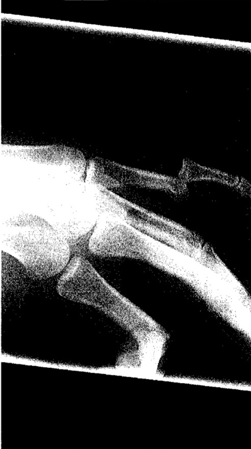
Yep. Dislocated my “pinkie” (why is it called that?) finger, TWICE, last night in a basketball game. Short version – fell, dislocated finger, looked awful, popped it back in place, felt better, moved freely, went back into the game, ball hit hand, finger dislocates again, VERY painful, afraid to pull it back in place, too light headed to drive, Courtney takes me to ER, they x-ray, numb my finger and pull it back in place.
Anyway…typing now is painful. Enough said. X- Ray picture below. If you’re really squeamish, you might not want to scroll down.

Yeah, that’s gross.
Ooowww! That must have really hurt!
oh, why did i look!?!?!?!
are you going to ever write anything new? just because you are nursing an owie finger does not mean you can’t type, ya know!
😉